新宿きらきら歯科
インプラント・セラミック治療・
即日義歯の専門医院

マイクロスコープ根管治療

マイクロスコープ根管治療

マイクロスコープ根管治療

保健治療でも行っている神経処置(神経を抜く処置)ですが、最近では「保健適用の神経処置」と、「自費で行う神経処置」のいずれかを扱う歯科医院が増えてきています。
当院では、「質の良い高品質医療」をモットーとしているため、精度の高い根管治療を提供させていただくため、根管治療は自費のみとなっております。質の良い根管治療とは何か、ご説明させていただきます。
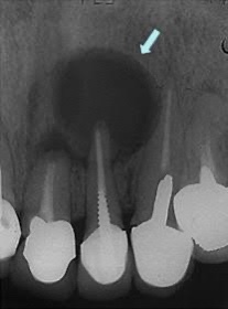
根管治療で大事なことは、「根管の中を無菌化すること」です!
無菌化できない根管治療を受けると、いずれ根の先が膿んでしまいます。
それを歯根嚢胞といいます。歯根嚢胞をそのままにしておくとズキズキ痛みが出たり、噛んだときに鈍い痛みが出たり、大きく腫れたり歯茎にプクっとした腫れや膿が出てくることがあります。

【マイクロスコープを使用した根管治療のリスク】

マイクロスコープでも判断ができない目に見えないヒビがある場合、根管内異物により十分な根管内清掃が行えない場合がある 虫歯の範囲が大きい場合、残りの歯が薄くなり歯が割れてしまう可能性がある

マイクロスコープ根管治療

それを歯根嚢胞といいます。歯根嚢胞をそのままにしておくとズキズキ痛みが出たり、噛んだときに鈍い痛みが出たり、大きく腫れたり歯茎にプクっとした腫れや膿が出てきてしまします。
歯根嚢胞になってしまった場合、歯がぐらぐら揺れてきてしまいます。
すぐに根管治療を開始すれば回復する可能性もありますが、完全に揺れが無くなることは難しいです。また歯根嚢胞が大きくなりすぎた場合は抜歯するしかなくなる場合もあります。

保健適用の神経処置のメリット、デメリット

  • 安価である、一回の通院が500円〜800円ほど
  • 安価であるが故に医院も一人に大きく診療時間を割けないため治癒や細菌の無菌化に完璧に近い処置を行うことが難しい(大体15分〜30分)
  • 時間をかけないため何度も何度も通院してもらう必要がある(大体週1通院で1ヶ月半〜2ヶ月)
  • 保健適用の根管治療で、時間のかかるマイクロスコープやラバーダム防湿など使い捨てで費用がかかるものを使用している医院はほとんど無い

自費診療の根管治療のメリット、デメリット

  • 価格が高い(大体相場で3〜10万円)
  • 一人当たりに2〜4時間ほどかけて根の治療をする。本来なら数回かけるところを一日で終わらせてしまう。膿んでる場合など状態が良く無い場合のみ数回かけて除菌する
  • マイクロスコープと呼ばれる根の中を見る顕微鏡で根の状態を直接目視できる。根の状態や汚染されていないかなど

保険治療の根っこの治療は細菌たっぷりの唾液による汚染リスクが高く、無菌化できないまま根っこの治療を終わらせてしまうと、根の先に膿をもったり、ニキビみたいに出てきてしまいます。

何度も再発した歯に関しましては、再発を繰り返すごとに、残念ながら治癒率は低下してしまいます。

高い精度の根管治療を受けるメリット

  • できるだけご自分の歯を長く残したい
  • 最善の歯科治療を受けたい
  • 神経を取らなければいけないが早く終わらせたい
  • 根の中に穴が開いているため、治療ができないといわれた
  • 治療しても、何度も再発を繰り返す
  • 体調が悪くなると、歯肉にニキビのようなできものが出来る方へ

マイクロスコープを用いるメリット

  • ミクロレベルの患部も正確に診断することが可能となり、歯の神経や血管などの根管の内部から再発を繰り返す原因となっていた虫歯の兆候まで識別できるようになります。
  • り正確で迅速な判断ができ、再発が起こりにくい。それがマイクロスコープによる精密治療です。

当院の根管治療は保険外となります。

前歯(一本) 33,000円
小臼歯(一本) 44,000円
大臼歯(一本) 55,000円

※感染している(根の先に膿がたまっている)場合各料金にプラス11,000円になります

アクセス

〒160-0022
東京都新宿区新宿三丁目11-9 花菱ビル8階

電話番号: 03-6459-1616

診療時間: 10:00〜21:00
定休日: 不定休

自由診療のみ

24時間WEB予約可能