Before
After
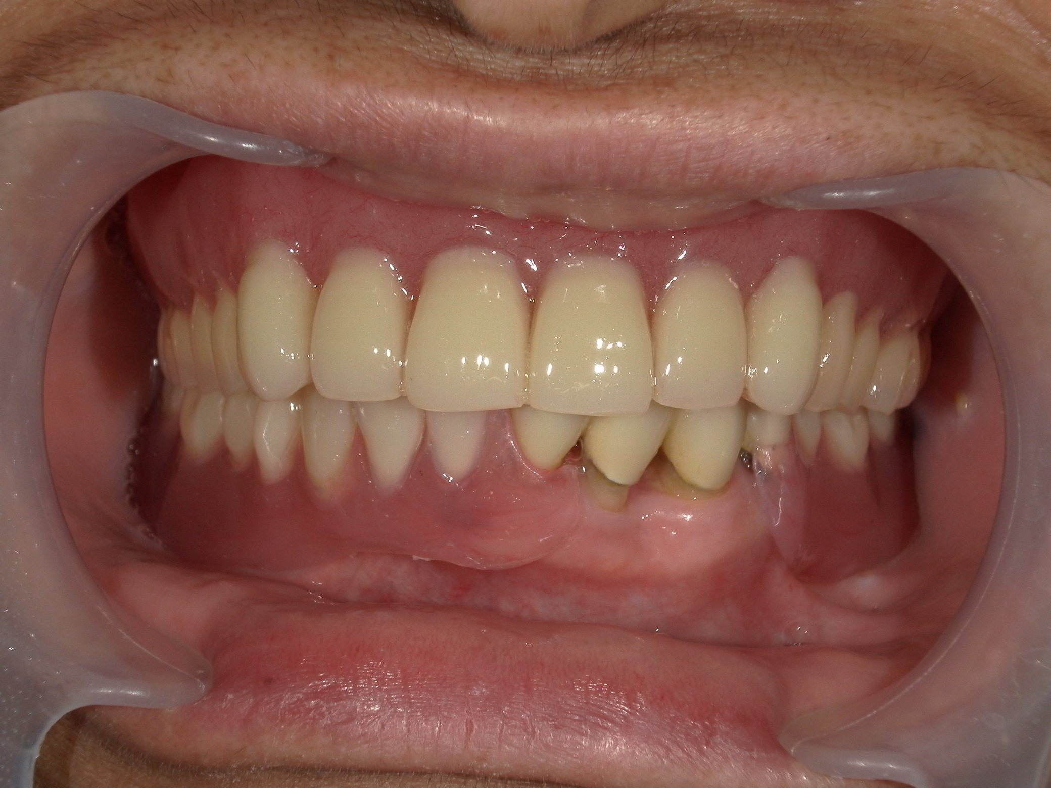
| 主訴 | 上の入れ歯をなくしてしまい、下の入れ歯は壊れた。早くできるなら作ってほしい。 |
|---|---|
| 治療期間 | 1日 |
| 治療費用(税込) | 715,000円 |
| リスク・副作用 |
・装着直後は口腔内が痛くなる、違和感がある ・咀嚼効率が天然歯に比べて落ちる ・使い続けるうちに歯茎や顎の形が変化し、調整が必要になる |
Before
After
| 主訴 | 上の入れ歯をなくしてしまい、下の入れ歯は壊れた。早くできるなら作ってほしい。 |
|---|---|
| 治療期間 | 1日 |
| 治療費用(税込) | 715,000円 |
| リスク・副作用 |
・装着直後は口腔内が痛くなる、違和感がある ・咀嚼効率が天然歯に比べて落ちる ・使い続けるうちに歯茎や顎の形が変化し、調整が必要になる |