モニター患者様4

モニター患者様4
モニター患者様4

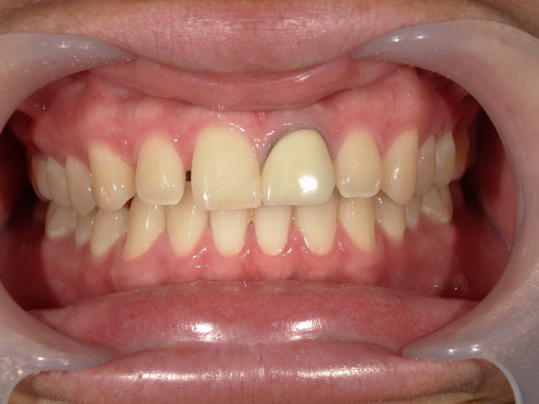
Before

モニター患者様4

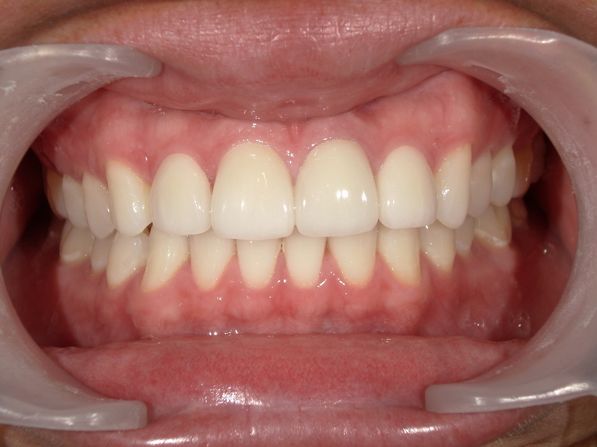
After

主訴 左上1番の歯をずいぶん前に保険治療で治したけど、黒ずみが気になってきたのでセラミックにしたい。一緒に銀歯をセラミックにしたい。
治療期間 2週間
治療費用(税込) 370,000円
上の歯4本をセラミック治療+オフィスホワイトニング
リスク・副作用 【セラミック治療】
・強い衝撃で割れることがある
・知覚過敏が起こる場合がある
・健康な歯を削る必要がある

【ホワイトニング治療】
・一時的に知覚過敏が出ることがある
・歯ぐきが刺激を受ける場合がある
・効果には個人差があり、色戻りの可能性がある